讲者:相世峰
单位:邯郸中心医院
出品单位:深圳市放射沙龙文化传媒有限公司
病史
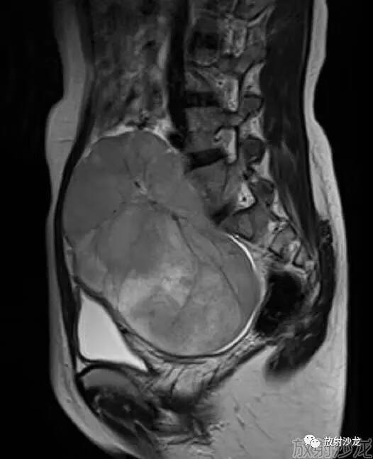
女性,26岁,发现盆腔肿块3个月,B超示盆腔实性占位。
图像





精彩讨论:
@影像人:年轻女性,右侧附件区实质性为主肿块,病灶内可见多发短T2信号纤维分隔,应该先考虑胚生殖细胞源性肿瘤,无性细胞瘤可能
@小医生:怎么感觉像葡萄胎?
@影人:多囊性病变,无壁结节,虽然年轻,不除外颗粒细胞瘤,临床症状很重要
病理结果
右侧卵巢无性细胞瘤
年轻女性多见,是恶性生殖细胞中最常见一种,占半数,恶性程度较低
瘤组织形态类同于睾丸精原细胞瘤,无内分泌功能。但5%肿瘤内含合胞体滋养层细胞,能产生HCG
影像学表现
分叶状实质性肿块内纤维组织分隔和包膜,瘤内有出血或坏死及斑点状钙化
解析
本例病变首先定位,冠状可以清晰显示左侧卵巢,来源右侧卵巢,实性肿块,DWI明显高信号,ADC值减低,恶性肿瘤,年轻女性恶性肿瘤生殖来源最常见,本病例特征表现多发纤维分隔,诊断应该考虑,来源右侧卵巢生殖系统恶性肿瘤,无性细胞瘤可能性大,您猜对了吗?

点击阅读原文拥有自己的影像工作室
标签:液化气
